×

DEUTSCHLAND
FRANCE
UNITED KINGDOM
ITALIA
РОССИЯ
ESPAÑA
日本

×

×

×

PLUS
SHOW

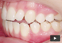
ENCOMBREMENT

SUPRACLUSION

BÉANCE LATÈRALE AVEC OCCLUSION INVERSÈE

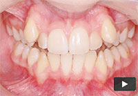
ENCOMBREMENT IMPORTANT